Tooth discolouration is a common problem and affects people of all ages. Apart from the conventional treatment modalities for the same, newer options are available today with better techniques and materials. The present case report describes a 17-year-old girl who had stained and pitted teeth, attributable to dental fluorosis and she desired aesthetic treatment for the same. The pros and cons of all treatment options were carefully weighed and a multistep treatment process involving ceramic veneers and direct bonding were planned. The execution of the planned treatment yielded a good aesthetic and functional outcome.
Aesthetic treatment, Composites Dental fluorosis, Tooth discolouration
Case Report
A 17-year-old girl was referred to the private clinic at Jaipur, Rajasthan for aesthetic management of discoloured teeth. The patient primarily complained of an unpleasant smile due to stained teeth. Detailed clinical history was elicited. The patient was born at full term in Gangapur, Rajasthan, India after an uneventful pregnancy and had stayed in the same region ever since. The medical history of the patient was non contributory. She had an elder brother who also suffered from a similar condition.
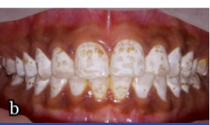
Intraoral examination revealed generalized discolouration of her dentition. All teeth were affected with pitting and chalky white areas [Table/Fig-1a]. The pits on the enamel were generalized and yellowish brown in colour. A diastema was present between the maxillary central incisors. Both the maxillary lateral incisors had Ellis class I fractures of their incisal edges and both maxillary canines had Ellis class I fractures of their cusp tips.
Preoperative presentation showing generalized dental fluorosis with discolouration and pitting,

The preparatory stage of the treatment started with smile analysis, preliminary shade selection, photographs and study models. The occlusion of the patient was determined as class I. The various treatment modalities for dental fluorosis including polishing, micro/macroabrasion, dental bleaching, composite veneering, porcelain laminate veneers and full veneer crowns were explained to the patient’s parents. After discussing the treatment options and considering the age of the patient and the severity of fluorosis, it was decided to place ceramic veneers on the maxillary incisors and canines. Direct composite veneers were planned for the maxillary premolars and mandibular incisors, canines and first premolars. The palatal margins of the veneer preparations were planned to be kept as a butt joint [1]. On assessment of the patient’s smile, teeth as far as the second maxillary bicuspids could be seen, which did not necessitate involvement of the first molars.
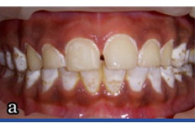
Before commencing the tooth preparation, direct composite mockup [Table/Fig-1b] was done to build up the fractured teeth and to close the midline diastema. The size and shape of the teeth were approved by the patient and her parents. A polyvinyl siloxane impression was made and was used as a preparation template in the further procedures [Table/Fig-2a&b]. Tooth preparation was first started with a 0.5 mm depth cutting diamond point and the depth grooves were marked with non-water-soluble ink. The labial and incisal tooth reduction was completed [Table/Fig-3a,3b,4a,b] using the preparation template as a guide to gauge the depth of preparation. Proximal preparation was not carried out and the contacts were not involved. Only the mesial surfaces of the maxillary central incisors were included in the preparation.
Composite mock-up on the fractured maxillary lateral incisors and canines and on the central incisors which had a diastema

Polyvinyl siloxane impression was made

Showing completed tooth preparation of maxillary anterior teeth for ceramic veneers,

Cementation of ceramic veneers

After adequate gingival retraction with a retraction cord (Ultrapak, Ultradent, South Jordan, Utah, United States), a two step dual impression was made and sent to the laboratory for fabrication of IPS e.max veneers (Ivoclar Vivadent AG, Schaan/Liechtenstain, Germany).
The prepared teeth were rinsed and polished with pumice and water before cementation procedures. The fit of the ceramic veneers was verified onto the cast and on the prepared teeth individually and collectively and the luting sequence was determined [Table/Fig-4a&b]. A water-soluble try-in paste (Variolink II, Ivoclar Vivadent AG, Schaan/Liechtenstain, Germany) was used to determine the shade of the luting cement. The veneers were rinsed thoroughly, etched with 5% hydrofluoric acid for 20 seconds (as per the manufacturer’s instructions), rinsed with water and silanized. The tooth was phosphoric acid-etched and adhesive was applied. Cementation of the veneers was carried out following the predetermined luting sequence. It was made certain that the veneers were exactly seated and not occupying any space meant for the adjacent veneer. The luting cement was initially light cured for 1-2 seconds and excess was gently removed using a no. 12 blade, followed by thorough curing of the luting agent.
Fit of the ceramic veneers was verified onto the cast

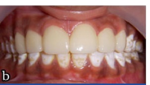
Once the porcelain veneers were bonded [Table/Fig-3b], the labial surfaces of the maxillary anterior and premolars and the mandibular anteriors and first premolars were prepared. Minimal tooth preparation was required [Table/Fig-5a-c]. 37% phosphoric acid etching was done followed by application of a bonding agent. Composites were layered according to the desired shades on all the teeth [Table/Fig-6a&b].
Preparation of maxillary premolars and the mandibular anteriors and first premolars

Excellent aesthetics achieved after completion of direct composite bonding on the maxillary bicuspids and mandibular anteriors and first bicuspids,

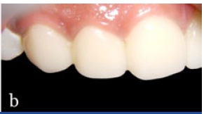
Healthy gingival and periodontal status and ideal emergence profile

Final finishing of the composite restorations and the veneer luting margins was postponed until the next appointment. The patient’s occlusion was evaluated and adjusted so as to avoid any veneer fracture. The patient was instructed about the precautions to be taken after veneer placement [Table/Fig-7a&b]. Periodic follow-up was scheduled to evaluate the gingival health and patient comfort. After one year follow up [Table/Fig-8] the evaluation was done and the patient was very much satisfied with the treatment.


Discussion
The harmful effects of fluorides can be attributed to their systemic absorption during tooth development, thus resulting in dental fluorosis [2]. Dental fluorosis is the result of chronic endogenic intake of fluorides in amounts exceeding the optimal daily dose of 1 ppm [3]. Dental fluorosis features hypomineralization of enamel which occurs due to the effects of excessive fluoride on ameloblasts during amelogenesis. Fluorides disturb mineralization of the enamel by decreasing the concentration of free calcium ions in the mineralizing matrix, which interferes with the proteinases; thus degrading matrix proteins during enamel maturation. This causes degradation of enamel matrix proteins or an inhibition of the removal of degraded enamel matrix proteins [4]. Fluoride-induced retention of these proteins causes impaired and incomplete crystal growth. Poor interlocking of crystals accounts for the increased porosity of enamel and thus the subsequent optical and physical changes [5,6]. Choubisa SL in his study in the Rajsathan, India has found the prevalence of the dental flurosis to be as high as 49.26% [7].
Porcelain laminate veneers were first introduced in around 1938 [8] and have gained increasing popularity ever since. Porcelain veneers have been said to have high survival rates and good clinical success [8,9] having excellent biocompatibility with gingival and periodontal tissues [3b]. Their main indications include stained or darkened teeth, hypocalcifications, diastema, chipped teeth, slightly rotated teeth, discrepancies in size and shape of teeth, worn acrylic veneers, foreshortened teeth, slight deviation of midlines, stained restorations and lingually positioned teeth [10]. Labially placed teeth, excessive interdental spacing, poor oral hygiene and periodontal status, clenching or nail-biting habits, severe discolouration, weak non-vital teeth and extreme midline deviation are some of the cases wherein veneers are contraindicated [11]. These were all considered and the contraindications were individually ruled out before planning the treatment.
Before preparing the teeth, the fractured teeth and the diastema were built up to their ideal shape using composite [1b] without etching or bonding. This enabled the patient to understand the final shape of her teeth. The patient and her parents were satisfied mainly because their expectations had been understood and the final outcome was demonstrated to them. It is essential to understand the patient’s requirements before suggesting any treatment.
Smales et al., [12] determined the clinical success rate of 110 ceramic veneers for seven years and stated a 96% success rate for incisal overlap design as opposed to the 86% success in veneers without incisal coverage. Accurate placement of all the veneers was essential in this case as multiple veneers had to be provided. The proximal contacts of none of the teeth were involved in the tooth preparation. Preparation had to be extended upto the lingual line angles on 11 and 21 to allow for closure of the diastema between them. This is in accordance with established literature [12] which states that closing a diastema may require preparation of the interproximal area. Entire tooth preparation was restricted to the enamel to achieve reliable bonding. This ensures adequate bond strengths and lengthens the life of the veneers. As no dentin is involved, the incidences of intraoperative and postoperative sensitivity are also greatly reduced.
Written post-operative instructions must be given to the patient such as the use of a soft toothbrush, regular flossing as with natural teeth, and use of a mouthguard when involved in any contact sport and for parafunctional habits. They must also be instructed to not use alcohol and alcohol-containing mouthwashes during the first 48 hours and to avoid hard foods, chewing on ice, nail-biting etc [13]. Inspite of the good clinical success rates and life of porcelain veneers, certain failures may occur which may be due to a variety of reasons. Failures include partial/complete fracture or debond, inaccurate placement, colour mismatch, marginal discolouration, loss of marginal integrity, postoperative sensitivity etc [14]. Regular dental check-up visits and proper care of the veneers may however, increase their life with no complications.
Conclusion
Dental fluorosis is a debilitating dental condition affecting the aesthetics, psychology and confidence of the patients. Inspite of the various treatment options that are available today, a single treatment modality may not suffice and there may be a need to opt for a multi-treatment approach. This case was successfully managed by the combined use of porcelain laminate veneers and direct composite bonding to give the young girl, her much deserved smile, back.
[1]. Castelnuovo J, Tjan AH, Phillips K, Fracture load and mode of failure of ceramic veneers with different preparationsJ Prosthet Dent 2000 83(2):171-80. [Google Scholar]
[2]. McKay FS, Black GV, Investigation of mottled teeth: An endemic imperfection of the enamel of teeth heretofore unknown in literature of dentistryDent Cosmos 1916 58:129-56.:477-84.:627-34.:781-92.:894-904. [Google Scholar]
[3]. Sherwood IA, Fluorosis varied treatment optionsJ Conserv Dent 2010 13:47-53. [Google Scholar]
[4]. Peneva M, Treatment Of Dental FluorosisJournal of IMAB - Annual Proceeding (Scientific Papers) 2008 book 2:71-74. [Google Scholar]
[5]. Aoba T, Fejerskov O, Dental fluorosis: chemistry and biologyCrit Rev Oral Biol Med 2002 13:155-70. [Google Scholar]
[6]. Robinson C, Connell S, Kirkham J, Brookes SJ, Shore RC, Smith AM, The effect of fluoride on the developing toothCaries Res 2004 38:268-76. [Google Scholar]
[7]. Choubisa Osteo-dental fluorosis in relation to age and sex in tribal districts of Rajasthan, IndiaJ Environ Sci Eng 2010 52(3):199-204. [Google Scholar]
[8]. Bhoyar AG, Aesthetic Closure of Diastema by Porcelain Laminate Veneers: A Case ReportPeople’s J Scien Res 2011 4(1):47-50. [Google Scholar]
[9]. Dunne SM, Millar JA, A longitudinal study of the clinical performance of porcelain veneersBr Dent J 1993 175:317-21. [Google Scholar]
[10]. Walls AWG, The use of adhesively retained all-porcelain veneers during the management of fractured and worn anterior teeth. Part II. Clinical results after 5-years follow-upBr Dent J 1995 178:337-39. [Google Scholar]
[11]. Newsome P, Owen S, Ceramic veneers in general dental practice. Part 1: Treatment planningInt Dent SA 2008 10:66-71. [Google Scholar]
[12]. Smales RJ, Etemadi S, Long-term survival of porcelain laminate veneers using two preparation designs: a retrospective studyInt J Prosthodont 2004 17:323-26. [Google Scholar]
[13]. Touati B, Miara P, Nathanson D, Ceramic Laminate VeneersIn: Esthetic Dentistry and Ceramic Restorations 1999 New YorkMartin Dunitz:161-213. [Google Scholar]
[14]. Newsome P, Owen S, Ceramic veneers in general dental practice. Part five: After care and dealing with failureAesthetic Dentistry Today 2008 2(4) [Google Scholar]